
Despite frequent application of lip balm, this split on a 46-year-old woman’s lower lip has failed to heal. What do you suspect?

Despite frequent application of lip balm, this split on a 46-year-old woman’s lower lip has failed to heal. What do you suspect?

A 46-year-old dentist presents for evaluation of chronic hand dermatitis of 1 year’s duration. He has no other rashes. Standard patch testing was negative. Another physician prescribed a high-potency corticosteroid cream that controls the rash but does not clear it. The patient takes no other medications.

At 1 week postpartum, a 32-year-old woman presents with an itchy rash of sudden onset. Famciclovir, 500 mg bid, is prescribed, but the rash persists.

This pruritic rash developed in a 43-year-old woman who had undergone a lumpectomy and lymph node dissection for breast cancer. She completed radiation therapy and chemotherapy 3 weeks ago. The rash has been present for 5 days. Levofloxacin was started 1 day ago.

A 24-year-old man seeks evaluation of a rash on his penis; it is associated with mild burning on urination. Workup for gonococcal and chlamydial infection is negative. He is otherwise healthy.

For the past month, a 39-year-old woman has had a persistent asymptomatic rash on her face. She is otherwise healthy and takes no medications.

All elements of the skin are affected by age. In this 2-part article, I discuss how the blood vessels, the lymphatics, and the ground substance- which surrounds these vessels- respond to age, and I show how the aging elements of the vasculature can engender a variety of pathological cutaneous conditions.

This white patch in the medial periorbital area of a 15-year-old girl had been present for several months. It was asymptomatic. The patient denied having had an injury to the area. Results of a potassium hydroxide preparation of a skin smear and fungus culture were negative. She had no history of other hypopigmented lesions and was otherwise healthy. There was no family history of vitiligo or autoimmune disease.

For a few months, a 51-year-old woman has had an asymptomatic rash on her proximal thighs. She claims to have no other rashes and denies any exposure history.

The mother of a 10-year-old boy brings him for evaluation of a persistent rash on his shins of a few months’ duration. The rash has not responded to topical corticosteroids.

For the past year, a 15-year-old boy has had a pruritic eruption on his shins. His mother suspects that his soccer shin guards are the cause; however, he wears them over his socks. Topical corticosteroids have not been effective.

A 76-year-old woman presents for evaluation of a long-standing sore just inside her lower lip. She has been referred by her dentist.

All elements of the skin are affected by age. In this 2-part article, I will discuss how the blood vessels, the lymphatics, and the ground substance- which surrounds these vessels-respond to age, and I will show how the aging elements of the vasculature can engender a variety of pathological cutaneous conditions.

Given the risk of skin cancer and the benefit of vitamin D production, what should I tell my patients about sun exposure?

During a routine physical examination, multiple, randomly distributed, fleshcolored nodules were noted on the trunk, arms, and face of a 62-year-old man. The lesions measured 0.5 to 1.0 cm and appeared slightly pedunculated. The patient had had the lesions since he was a teenager; they were not painful. He also had hypertension, for which he was taking lisinopril (20 mg once daily).

Osler nodes may accompany bacteremia without endocarditis, septic endarteritis, typhoid fever, gonococcemia, systemic lupus erythematosus, and nonbacterial thrombotic endocarditis.

A 58-year-old man with type 2 diabetes, nephrolithiasis, and benign prostatic hyperplasia presented with bilateral periorbital ecchymoses and left subconjunctival hemorrhage. The ecchymoses had spontaneously appeared 3 days earlier; the patient had no history of trauma or falls. He also had difficulty in voiding, characterized by increased frequency, hesitancy, and diminished urine stream.

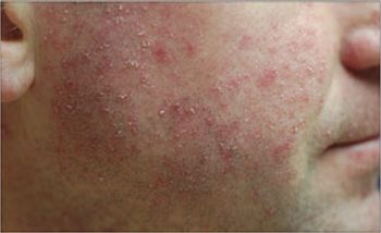
A 17-year-old boy presents with an intermittent asymptomatic rash on his cheeks that he says started 1 year earlier after a trip to Arizona over spring break. He is otherwise healthy, takes no medications, and has no other rashes.

A 41-year-old man is seen for routine physical examination. Apart from mildly elevated cholesterol 2 years ago and a bout of bacterial bronchitis last winter, he has been healthy. Says he has had “bad acne” since age 21. Has applied drying agents that worsened it and that sting; has “sensitive skin” problems from creams. Now prefers to ignore his facial skin.

This lesion had appeared in the right groin of a 60-year old man and had slowly enlarged over a month (A). Two years before this evaluation, he had undergone total prostatectomy with lymph node dissection for prostate carcinoma. Metastatic disease was found in a resected lymph node, and he underwent multiagent chemotherapy.

For several weeks, a 25-year-old man has been bothered by a pruritic rash on his hands. He has a history of allergies but is otherwise healthy. He owns 2 dogs.

For 1 month, a 54-year-old woman has had an intensely pruritic eruption on her abdomen, arms, and anterior thighs. She has long-standing hypertension and type 2 diabetes mellitus, which are treated with an angiotensin-converting enzyme inhibitor/diuretic and an oral hypoglycemic agent.

This worsening rash developed after a 40-year-old man was treated with amoxicillin for an upper respiratory tract infection. When the rash started, the amoxicillin was discontinued and azithromycin was prescribed; however, the rash has persisted. The patient has no history of allergies or rashes. He takes no other medications.

Syphilis took Europe by storm at the end of the 15th century in what was to become a sweeping epidemic. Before 1495, it was unknown or perhaps was attributed to other disease processes, such as leprosy.

A 76-year-old man is seen because of redness below the right eye. Has long-standing “lazy eye” on the left, which is chronically deviated outward. Has lived in nursing home for some years due to self-care deficit from memory loss. No recent eye surgery, conjunctivitis, sinus infection, or periocular trauma.