
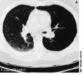
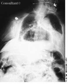
With a 1-year history of episodic wheezing, a 62-year-old woman (a smoker for the past 30 years) was being treated for bronchial asthma, but bronchodilator therapy did not control her symptoms. She was hospitalized with worsening dyspnea and a 4.5-kg (10-lb) weight loss over the past 3 months. There was no hemoptysis.


























































































































































































































































































































