
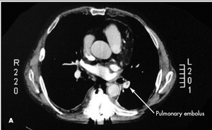
A 59-year-old man presented with painful paraparesis of acute onset, severe low back pain, and shortness of breath. On initial examination, he had 0/5 strength and numbness in his lower extremities. The skin from below his umbilicus to his lower legs was pale.


