
A 38-year-old woman with a history of injection drug use presented with progressive pain in the left arm and neck and fever.

A 38-year-old woman with a history of injection drug use presented with progressive pain in the left arm and neck and fever.

The cause of mid-abdominal pain and tenderness can sometimes be just a strained rectus abdominus muscle. To test for this, apply firm pressure to the rectus abdominus with your hand and have the patient lean forward. As the patient leans, your hand is pushed toward the muscle and away from the viscera. If the tenderness worsens, muscle strain is a more likely cause of the pain and you may forgo expensive diagnostic tests.

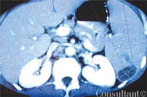
A 51-year-old man with a history of AIDS (CD4 count of 59 cells/µL), anemia, neutropenia, and AIDS-related dementia presented with persistent fever, abdominal pain, and diarrhea of 2 months' duration. He did not adhere to his regimen of HAART and prophylactic therapy with atovaquone and azithromycin.

Published: May 1st 2007 | Updated:

Published: December 1st 2006 | Updated:

Published: December 1st 2005 | Updated: