Articles by Chris Derk, MD

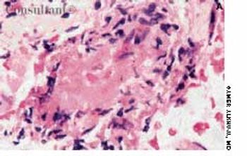
A 44-year-old black man presented to our office with insidious onset of blurred vision. He had no significant past medical history but complained of dyspnea on exertion. On examination, the left pupil was irregular and fixed. A chest film demonstrated bilateral hilar adenopathy. Laboratory findings included normal purified protein derivative test results and elevated angiotensin-converting enzyme levels; pulmonary function studies appeared normal.

Following two witnessed tonic-clonic seizures, a 65-year-old woman with a history of chronic obstructive pulmonary disease was admitted to the hospital. Results of laboratory studies included serum creatinine level, 2 mg/dL; blood urea nitrogen level, 28 mg/dL; and erythrocyte sedimentation rate, 61 mm/h. The patient's antinuclear antibody (ANA) titer was 1:40 with a speckled pattern, and creatinine clearance was 17 mL/min. An ultrasonogram revealed bilateral small kidneys. CT and MRI of the head revealed no abnormalities.

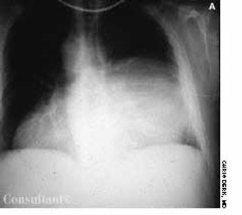
Shortness of breath and cough were the sole complaints of a 49-year-old man who had no significant medical history. He was given antibiotics for a possible bronchitis. The patient returned a week later because his symptoms had not improved. At this time, a chest film showed a right-sided mediastinal mass, and a CT scan of the thorax located the mass in the posterior mediastinum.