
In recognition of Valentine's Day, we present 2 incidental heart-shaped findings we encountered within the hearts of 2 patients during 2-dimensional transthoracic echocardiographic studies.

In recognition of Valentine's Day, we present 2 incidental heart-shaped findings we encountered within the hearts of 2 patients during 2-dimensional transthoracic echocardiographic studies.

Interatrial septal aneurysm (IASA) and patent foramen ovale (PFO)-either alone or coexisting-are a frequent cause of cryptogenic cerebral and/or peripheral thromboemboli. The IASA plus PFO combination has been shown to confer higher risk, particularly in adults aged 45 years or younger. Therefore, recognition and documentation of these 2 abnormalities during an echocardiographic (transthoracic or transesophageal) study, when performed for other indications, is essential.

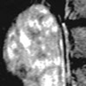
A large right adrenal mass was noted incidentally on an MRI scan of the lumbar spine, which had been performed for other reasons in a 55-year-old non-obese woman. The bright heterogeneous mass (T2-weighted image) measured 6.2 3 6.2 3 4.1 cm and sat like the head of a serpent on the superior pole of the right kidney. Its margins were smooth, but signal intensity was increased on T2 weighting because of high water content. The left adrenal gland was normal.

A 49-year-old woman was referred for evaluation of cardiac valvular dysfunction. Years earlier, she had taken phentermine and fenfluramine for 3 to 6 months for weight loss. She had lost 6.75 kg (15 lb) during that interval without any cardiac symptoms or side effects. She stopped taking the drug on her own.

Published: June 1st 2007 | Updated:

Published: August 1st 2007 | Updated:

Published: October 1st 2007 | Updated:

Published: February 1st 2008 | Updated: