
Primary Pyomyositis
A 59-year-old woman presents with right-sided, nonradiating, “aching” chest pain that has been continuous and increasing in severity for the past 3 days. It began as a tightness that gradually became more painful; it is aggravated by palpation and movement and has not been relieved by acetaminophen.
A 59-year-old woman presents with right-sided, nonradiating, “aching” chest pain that has been continuous and increasing in severity for the past 3 days. It began as a tightness that gradually became more painful; it is aggravated by palpation and movement and has not been relieved by acetaminophen. She has also noted swelling in her right breast and a change in its contour. She reports fevers and chills but denies trauma, shortness of breath, cough, sputum, palpitations, nausea, vomiting, and dysuria.
HISTORY
The patient has diabetes, which was diagnosed 10 years earlier and remains inadequately controlled despite a regimen that includes both long-acting and rapidacting insulin. She has hypertension that has been treated with an angiotensin-converting enzyme inhibitor, a calcium channel blocker, and a diuretic. In addition, she has hepatitis C that has not been treated. She reports no history of chest pain.
PHYSICAL EXAMINATION
This overweight woman has a low-grade fever (temperature, 37.9ºC [100.2ºF]); blood pressure is 155/92 mm Hg. Other vital signs are normal. Pulse is regular, heart sounds are normal, and lungs are clear. The right breast is asymmetrically enlarged, erythematous, warm, and exquisitely tender to palpation. No discrete masses or areas of fluctuance are appreciated. There is no nipple discharge, induration, or axillary lymphadenopathy. She is unable to adduct her right arm because of pain. Results of the remainder of the physical examination are unremarkable.
LABORATORY AND IMAGING STUDIES
Results of a basic metabolic panel are normal except for a blood glucose level of 228 mg/dL. White blood cell count is elevated at 12,900/μL, with 80% polymorphonuclear leukocytes and 2% band forms. Creatine kinase level is 226 U/L. Ultrasonography of the breast shows diffuse edema of the upper outer quadrant of the right breast without evidence of breast abscess. Chest CT scan with contrast and T2-weighted MRI scan of the right pectoralis musculature are shown.
Which of the following is the most likely diagnosis?
A. Diabetic muscle infarction.
B. Spontaneous gangrenous myositis.
C. Cellulitis with skin abscess.
D. Primary pyomyositis.
(answer on next page)
Answer: Primary pyomyositis
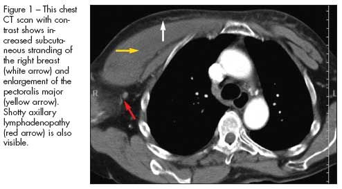
The CT scan of the chest shows increased subcutaneous stranding of the right breast and enlargement of the pectoralis major, with shotty axillary lymphadenopathy (Figure 1). The MRI scan demonstrates myositis of the right pectoralis with an 11 x 2-cm area of lack of enhancement, which is consistent with either necrosis or abscess within the muscle (Figure 2).
On the basis of the imaging studies and clinical findings, unilateral myositis was diagnosed. The loss of arm adduction is a classic sign of the involvement of the pectoralis major. Although the differential diagnosis of myositis is vast, true unilateral muscle inflammation has only a few possible causes. Distinguishing between these discrete clinical entities can present a diagnostic challenge; however, differences in treatment and prognosis make their identification of vital importance.
Primary pyomyositis (choice D) is an uncommon complication of transient bacteremia, with or without an underlying muscular abnormality. It is most common in the tropics and in patients with HIV infection. Pyomyositis is typically caused by Staphylococcus aureus and is characterized by abscess formation in skeletal muscle rather than by gangrenous necrosis. Blood cultures yield the culprit pathogen in only 5% of cases. Pyomyositis is associated with less systemic toxicity and a much better prognosis than spontaneous gangrenous myositis. Timely surgical drainage, along with appropriate antibiotic therapy, usually leads to complete recovery. Delay in diagnosis may result in compartment syndrome, adjacent joint destruction, sepsis, or death. Long-term sequelae can include osteomyelitis, residual muscle weakness, and functional disability.
Spontaneous gangrenous myositis (choice B) is a rare soft tissue infection most commonly caused by Streptococcus pyogenes. Patients present with intense pain, fever, and induration of the soft tissue. Later, petechiae, bullae, and vesicles develop, along with systemic toxicity, including hypotension and organ failure. CT and MRI may show the site and depth of infection and often reveal myonecrosis and extension of the inflammatory process along fascial planes. However, abscess is uncharacteristic of streptococcal myositis. The mortality rate is between 80% and 100% despite appropriate antibiotics and aggressive surgical intervention. Surprisingly, underlying conditions, such as diabetes mellitus or immune deficiency, do not increase the risk of this infection.
Diabetic muscle infarction (choice A) is a noninfectious complication of chronic uncontrolled diabetes. As with the other causes of myositis, diabetic muscle infarction produces isolated muscle inflammation that results in pain, swelling, and erythema. MRI typically demonstrates an area of lack of enhancement similar to the one seen on this patient’s MRI scan. However, fever, leukocytosis, and abscess are not characteristic of diabetic muscle infarction.
Cellulitis (choice C) can be eliminated on the basis of this patient’s history. This superficial infection of the skin with some extension into the subcutaneous tissues The CT scan of the chest shows increased subcutaneous stranding of the right breast and enlargement of the pectoralis major, with shotty axillary lymphadenopathy (Figure 1). The MRI scan demonstrates myositis of the right pectoralis with an 11 x 2-cm area of lack of enhancement, which is consistent with either necrosis or abscess within the muscle (Figure 2).
On the basis of the imaging studies and clinical findings, unilateral myositis was diagnosed. The loss of arm adduction is a classic sign of the involvement of the pectoralis major. Although the differential diagnosis of myositis is vast, true unilateral muscle inflammation has only a few possible causes. Distinguishing between these discrete clinical entities can present a diagnostic challenge; however, differences in treatment and prognosis make their identification of vital importance.
Primary pyomyositis (choice D) is an uncommon complication of transient bacteremia, with or without an underlying muscular abnormality. It is most common in the tropics and in patients with HIV infection. Pyomyositis is typically caused by Staphylococcus aureus and is characterized by abscess formation in skeletal muscle rather than by gangrenous necrosis. Blood cultures yield the culprit pathogen in only 5% of cases.
Pyomyositis is associated with less systemic toxicity and a much better prognosis than spontaneous gangrenous myositis. Timely surgical drainage, along with appropriate antibiotic therapy, usually leads to complete recovery. Delay in diagnosis may result in compartment syndrome, adjacent joint destruction, sepsis, or death. Long-term sequelae can include osteomyelitis, residual muscle weakness, and functional disability.
Spontaneous gangrenous myositis (choice B) is a rare soft tissue infection most commonly caused by Streptococcus pyogenes. Patients present with intense pain, fever, and induration of the soft tissue. Later, petechiae, bullae, and vesicles develop, along with systemic toxicity, including hypotension and organ failure. CT and MRI may show the site and depth of infection and often reveal myonecrosis and extension of the inflammatory process along fascial planes. However, abscess is uncharacteristic of streptococcal myositis. The mortality rate is between 80% and 100% despite appropriate antibiotics and aggressive surgical intervention. Surprisingly, underlying conditions, such as diabetes mellitus or immune deficiency, do not increase the risk of this infection.
Diabetic muscle infarction (choice A) is a noninfectious complication of chronic uncontrolled diabetes. As with the other causes of myositis, diabetic muscle infarction produces isolated muscle inflammation that results in pain, swelling, and erythema. MRI typically demonstrates an area of lack of enhancement similar to the one seen on this patient’s MRI scan. However, fever, leukocytosis, and abscess are not characteristic of diabetic muscle infarction.
Cellulitis (choice C) can be eliminated on the basis of this patient’s history. This superficial infection of the skin with some extension into the subcutaneous tissues is associated with confluent erythema and generalized edema. Systemic signs can be present but are not hallmarks of this entity. Also, the decreased range of motion seen in this woman represents an intramuscular process as opposed to one of the skin or soft tissue.
OUTCOME OF THIS CASE
Because of the prevalence of methicillin-resistant S aureus infection in the local patient population, treatment with vancomycin was initiated empirically; treatment with piperacillin/tazobactam was started as well, because of this patient’s diabetes. Pain was controlled with nonsteroidal and narcotic analgesics.
Over the ensuing days, her temperature spiked to 39.4ºC (103ºF), and the pain in her right breast became more severe. Results of daily blood cultures were persistently negative. The infection was surgically drained on day 6 of her hospital stay after a second MRI scan showed that the fluid collection was not diminishing with antibiotic therapy alone. Immediately on incision, purulent fluid was encountered. As the incision was extended, necrotic tissue and muscle was exposed. The cavity was left open and packed.
The patient’s temperature returned to normal. By the following day, the pain had nearly resolved, and the range of motion in the right arm had also improved. Therapy with linezolid, 600 mg PO q12h, was started. The patient was discharged on day 8 of her hospital stay, and antibiotic therapy was continued for 2 more weeks. Results of a subsequent HIV test were negative. She had a complete recovery.
References:
FOR MORE INFORMATION:
•Adams EM Gudmundsson S, Yocum DE, et al. Streptococcal myositis.
ArchIntern Med.
1985;145:1020-1023.
• Baddour LM, Bisno AL.
Infection of the skin and subcutaneous tissue.
In:Schlossberg D, ed. Infections of the Head and Neck. New York: Springer-Verlag;1987:1.
• Bickels J, Ben-Sira L, Kessler A, Wientroub S. Primary pyomyositis.
J BoneJoint Surg Am.
2002;84:2277-2286.
•Christin L, Sarosi GA. Pyomyositis in North America: case reports and review.
Clin Infect Dis.
1992;15:668-677.
•Crum NF. Bacterial pyomyositis in the United States.
Am J Med.
2004;117:420-428.
•Defining the group A streptococcal toxic shock syndrome. Rationale andconsensus definition. The Working Group on Severe Streptococcal Infections.
JAMA.
1993;269:390-391.
•Ginsberg MB. Cellulitis: analysis of 101 cases and review of the literature.
SouthMed J.
1981;74:530-533.
•Jahnson L, Berggren L, Björsell-Ostling E, et al. Streptococcal myositis.
ScandJ Infect Dis.
1992;24:661-665.
•Joshi N, Caputo GM, Weitekamp MR, Karchmer AW. Infections in patients withdiabetes mellitus.
N Engl J Med.
1999;341:1906-1912.
•Yoder EL, Mendez J, Khatib R. Spontaneous gangrenous myositis inducedby Streptococcus pyogenes: case report and review of the literature.
Rev Infect Dis.
1987;9:382-385.
Newsletter
Enhance your clinical practice with the Patient Care newsletter, offering the latest evidence-based guidelines, diagnostic insights, and treatment strategies for primary care physicians.


















































































































































































































































































